Anal Fistula Treatment in Kolkata
Understanding an anal fistula can be a daunting experience, especially when traditional surgical outcomes leave patients fearing a “comeback” of the condition. At Proctosafe Clinic, we specialize in a most successful, minimally invasive solution that prioritizes your recovery and long-term relief.
What is an Anal Fistula?
An Anal Fistula (Fistula-in-ano) is an abnormal, infected tunnel that develops between the inside of the anus (the anal canal) and the skin near the anus. It is almost always the result of a previous anal abscess that did not heal correctly.
Pathogenesis: How it Develops
Most fistulas follow the Cryptoglandular Theory:
- Infection: It starts with an infection in the small glands lining the anal canal.
- Abscess: This infection forms a pocket of pus (abscess).
- Drainage: The abscess either bursts or is surgically drained.
- The Tunnel: Once the pus is gone, a permanent channel or “tunnel” remains, connecting the internal gland to the external drainage site. This tunnel is the fistula.
Non-Cryptoglandular Fistulas: Unlike standard fistulas, these are not caused by simple gland infections. Instead, they are usually a symptom of an underlying medical issue:
- Crohn’s Disease: Inflammatory bowel disease (IBD) can cause deep ulcers that penetrate the intestinal wall, creating complex, multi-branched fistula tracts.
- Tuberculosis (TB): Extrapulmonary TB can manifest in the perianal region, leading to persistent, non-healing fistulas.
- Malignancy (Cancer): Anal or rectal cancers, or even the side effects of radiation therapy for pelvic cancers, can result in fistula formation.
- Trauma: Injuries from accidents, foreign bodies, or complications from previous pelvic surgeries.
- Infections: Specific infections like HIV, Actinomycosis, or Lymphogranuloma Venereum (LGV) can lead to perianal tracts.
- Hidradenitis Suppurativa: A chronic skin condition that causes painful lumps and tracts in the groin and anal area.
Recognizing the Symptoms
Fistulas rarely heal on their own and typically present with:
- Persistent Discharge: Constant or intermittent oozing of pus, blood, or foul-smelling fluid.
- Pain & Swelling: Throbbing pain that worsens during bowel movements or while sitting.
- Skin Irritation: Redness, itching, and tenderness around the external opening.
- Recurrent Abscesses: Frequent episodes of painful swelling that “burst” and then reappear.
Types of Anal Fistula
Fistulas are classified based on their relationship with the anal sphincter muscles (the muscles that control bowel movements):
- Intersphincteric: The most common; stays between the internal and external sphincter muscles.
- Transsphincteric: The tract crosses through both the internal and external sphincter muscles.
- Suprasphincteric: The tract loops over the top of the sphincter muscles.
Extrasphincteric: A rare, complex tract that starts high up in the rectum and bypasses the sphincters entirely.
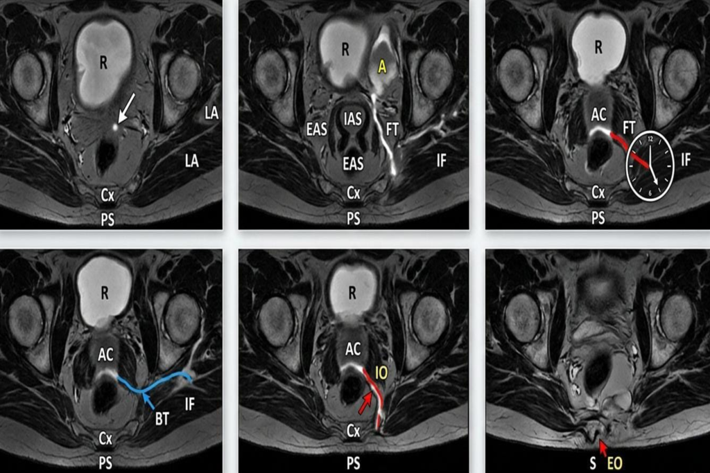
Diagnosis: Mapping the Tract
A physical examination by a specialist is the first step. To ensure no “hidden branches” are missed, we utilize advanced imaging:
- Digital Rectal Examination (DRE): To feel the internal opening.
- MRI Fistulogram: The “gold standard” for 2026, providing a high-definition map of the entire tract and its secondary branches.
- Endoanal Ultrasound: To see the relationship between the fistula and the sphincter muscles.
The Challenge: Recurrence After Surgery
One of the most frustrating aspects of an anal fistula is recurrence. Conventional surgeries like Fistulotomy (cutting the tract open) or Fistulectomy (removing the tract) often fail for several reasons:
- Incomplete Removal: Microscopic branches or “dead ends” of the fistula are left behind.
- Sphincter Risk: Surgeons may hesitate to cut deep enough to reach the internal opening to avoid causing fecal incontinence.
- Premature Skin Healing: The skin opening heals faster than the internal tract, trapping new infection inside.
Did you know? Some studies show recurrence rates as high as 20% to 50% in complex fistulas treated with conventional surgery.
The Proctosafe Clinic Solution: The Ksharasutra Protocol
At Proctosafe Clinic, we bridge the gap between ancient wisdom and modern precision. We provide the best possible anal fistula treatment with Ksharasutra in the town. Our team of doctors does more than just treat the disease; we educate you and help you understand every aspect of your condition and its recovery. We don’t just consult—we lead people with fistulas toward the way of a complete cure.